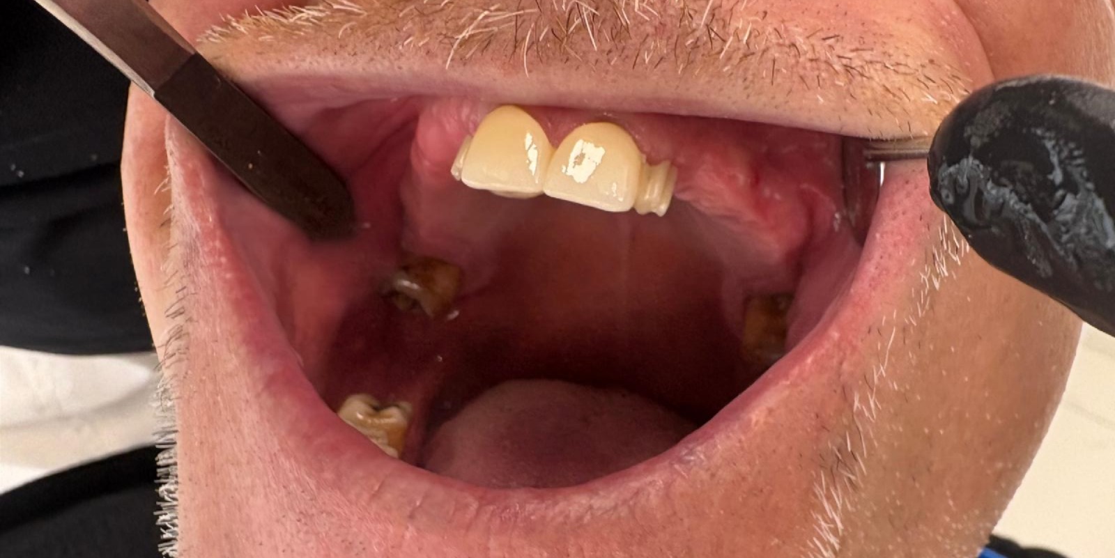
Przed
Po
Zabieg wykonali: dr Władysław Klimański – część implantologiczna, dr Ala Petrouk – część protetyczna
Koszt całości 25 000 zł.
x proteza overdenture mocowana na czterech implantach
🔩 x 4 implant Megagen
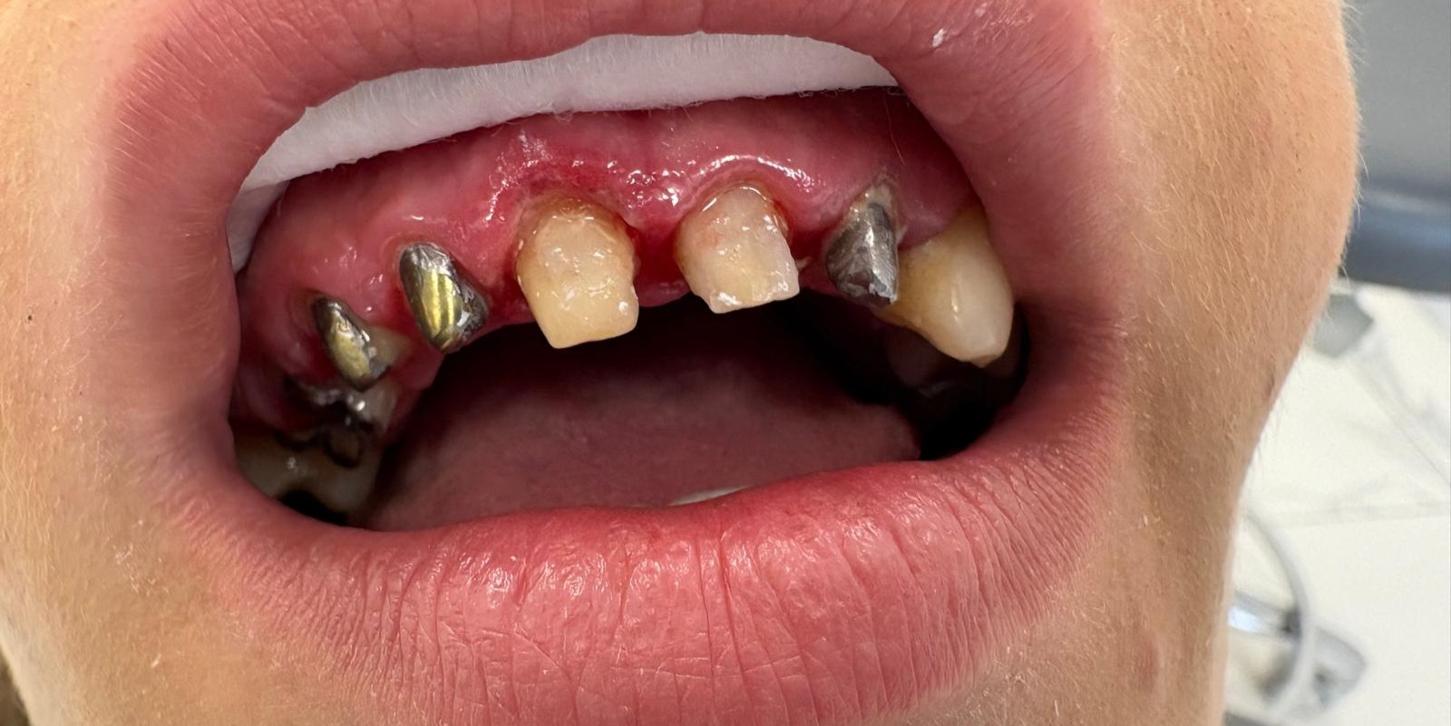
Przed
Po
Zabieg wykonała: dr Ala Petrouk
Koszt całości 14 400 zł.
x 7-mio punktowy most porcelanowy
Przed
Po
Zabieg wykonała: dr Ala Petrouk
Koszt całości 13 200 zł.
x 6 koron pełnoceramicznych
Przed
Po
Zabieg wykonała: dr Ala Petrouk
Koszt całości 28 200 zł.
x 3 korony pełnoceramiczne oraz
x most pięciopunktowy
Przed
Po
Zabieg wykonała: dr Ala Petrouk
Koszt całości 17 600 zł.
x 8 koron pełnoceramicznych
Przed
Po
Zabieg wykonała: dr Ala Petrouk
Koszt całości 9 200 zł.
x 2 korona pełnoceramiczna oraz proteza szkieletowa górna
Przed
Po
Zabieg wykonała: dr Ala Petrouk
Koszt całości 39 500 zł.
x 19 licówek porcelanowych
Przed
Po
Zabieg wykonali: dr Ala Petrouk – część protetyczna; dr Władysław Klimanski – część implantologiczna
Koszt całości 33 000 zł.
most 10-cio punktowy mocowany na 4 implanatach (All on 4)
Przed
Po
Zabieg wykonała: dr Ala Petrouk
Koszt całości 26 900 zł.
x 10 koron porcelanowych
Przed
Po
Zabieg wykonała: dr Ala Petrouk
Koszt całości 28 600 zł.
x 7 licówek porcelanowych oraz
x 6 punktów mostu porcelanowego
Przed
Po
Zabiegi wykonali: dr Ala Petrouk i dr Władysław Klimański
x proteza dolna mocowana na dwóch implantach
🔩 x 1 implant Straumann